Ağızda Çıkan Yaralar Nasıl Geçer?
Ağızda çıkan yaralar, günlük yaşamı olumsuz etkileyebilen yaygın bir sağlık sorunudur. Bu yazıda, ağız yaralarının nedenleri, belirtileri, tedavi yöntemleri ve önleyici stratejileri hakkında kapsamlı bilgiler sunulmaktadır. Yaraların yönetimi ve önlenmesi için önerilen yöntemlere göz atabilirsiniz.
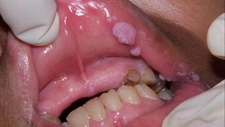
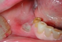
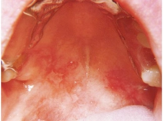
Ağızda çıkan yaralar, bireylerin yaşam kalitesini olumsuz etkileyen yaygın bir sağlık sorunudur. Bu yaralar, genellikle ağrılı ve rahatsız edici olup, yemek yeme, konuşma ve genel ağız hijyeni gibi günlük aktiviteleri zorlaştırabilir. Ağız yaralarının nedenleri, tedavi yöntemleri ve önleyici stratejiler hakkında detaylı bilgi sunulacaktır. Ağız Yaralarının NedenleriAğızda oluşan yaraların birçok farklı nedeni bulunmaktadır. Bunlar arasında:
Ağız Yaralarının BelirtileriAğız yaralarının başlıca belirtileri arasında:
Ağız Yaralarının Tedavi YöntemleriAğız yaralarının tedavisi, yaranın sebebine ve ciddiyetine bağlı olarak değişiklik göstermektedir. Tedavi yöntemleri şu şekilde sınıflandırılabilir:
Önleyici StratejilerAğız yaralarının oluşumunu önlemek için şu stratejiler uygulanabilir:
SonuçAğızda çıkan yaralar, çoğu zaman geçici bir sorun olsa da, tekrarlayan ve şiddetli durumlarda bir sağlık uzmanına danışmak önemlidir. Tedavi ve önleme yöntemleri ile ağız sağlığının korunması mümkündür. Bireylerin, bu tür yaralarla karşılaştıklarında kendilerine uygun tedavi yöntemlerini araştırmaları ve gerektiğinde profesyonel yardım almaları önerilmektedir. Ekstra Bilgiler:Ayrıca, bazı kronik hastalıklar (örneğin, Behçet hastalığı, Crohn hastalığı) ağız yaralarının sık görülmesine neden olabilir. Bu tür durumlarda, uzman doktorlar tarafından uzun vadeli tedavi planları geliştirilmelidir. |





























Kısa sürede ağızda çıkan yaralarının geçmesi için ne yapabilirim? Karbonatlı veya tuzlu suyla gargara yapmanın etkili olduğu söylenmiş, bu yöntemleri denemeli miyim? Ayrıca vitamin eksiklikleri bu tür yaraların oluşumuna neden olabilir mi?
Ağız Yaraları İçin Gargara Yöntemleri
Seyfullah, ağızda çıkan yaralar için karbonatlı veya tuzlu suyla gargara yapmak gerçekten etkili olabilir. Bu yöntemler, ağız içerisindeki pH dengesini sağlamak ve enfeksiyon riskini azaltmak açısından fayda sağlayabilir. Ancak, gargara yaparken suyun çok sıcak olmamasına dikkat etmelisin; ılık su ideal bir seçimdir.
Vitamin Eksiklikleri
Ayrıca, vitamin eksiklikleri ağız yaralarının oluşumuna katkıda bulunabilir. Özellikle B vitaminleri (B1, B2, B3, B6, B12) ve C vitamini eksiklikleri, ağız sağlığını olumsuz etkileyebilir. Yeterli ve dengeli beslenmek, yeterli vitamin alımını sağlamak açısından oldukça önemlidir. Eğer sık sık ağız yarası yaşıyorsan, bir doktora veya beslenme uzmanına danışarak gerekli vitamin seviyelerini kontrol ettirmek iyi bir fikir olabilir.
Sağlıklı günler dilerim!